1 Implant to Restore #4 with Zirconia Crown
The Concern
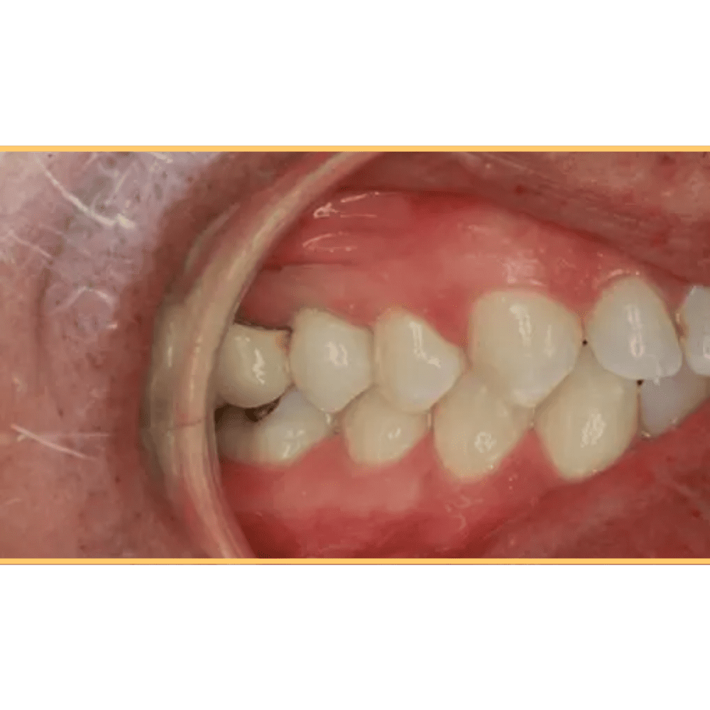
A missing premolar can affect both function and aesthetics, especially in the visible part of the smile. For this case, an implant was placed at tooth #4 with a zirconia abutment. Zirconia is known for its strength, biocompatibility, and tooth-like color, making it an excellent choice for a natural-looking restoration. This implant ensures a durable and visually seamless replacement that will last for years to come.





