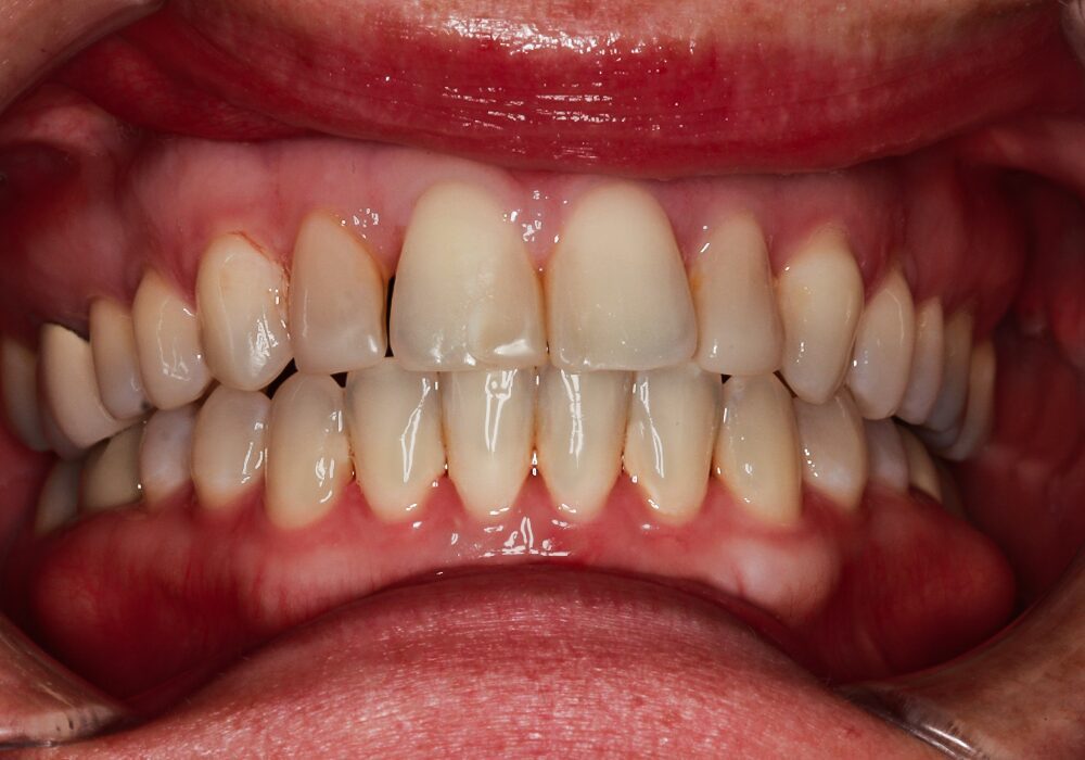
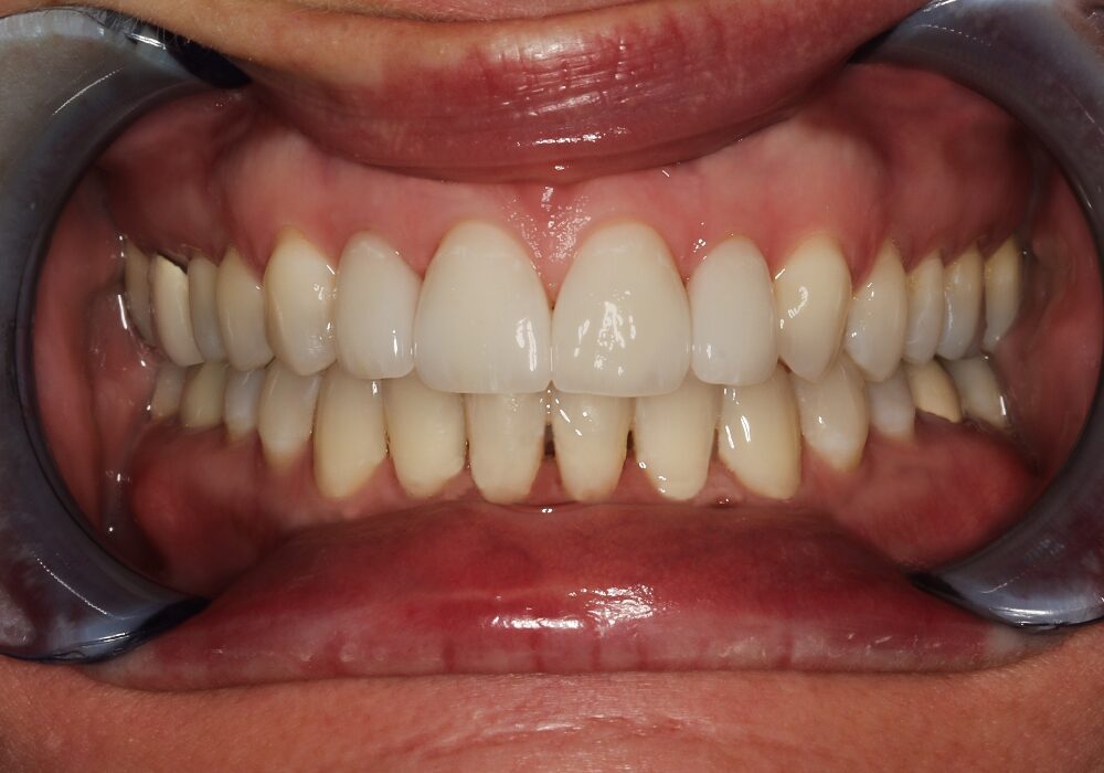
Elizabeth – Natural Beauty, Perfected
The Concern
Elizabeth wanted a smile that felt like her own—just better. Her makeover included subtle enhancements to brightness and symmetry, resulting in a look so natural, no one would guess she had any work done—just a radiant smile.






