Maureen – Confidence in Every Curve

The Concern

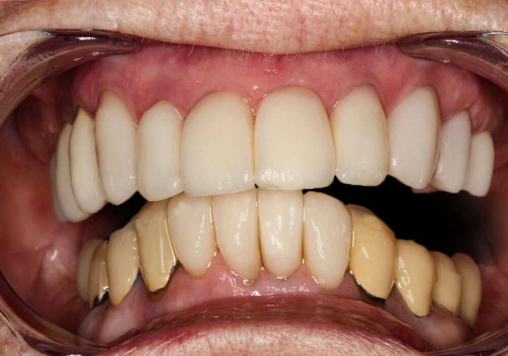
Maureen’s transformation included correcting misalignment and discoloration while preserving the integrity of her natural smile. Her results exude elegance and confidence with every grin.

Categories:

Before & After