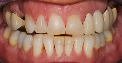
Tooth #5 Implant & Tooth #11 Cantilever – Customized Approach for Stability
The Concern
This case required a strategic approach to tooth replacement. An implant was placed at tooth #5, while tooth #11 was restored using a cantilever-supported crown. A cantilever bridge is used when an adjacent tooth can support the missing tooth’s restoration, reducing the need for multiple implants. This approach provided both durability and aesthetic harmony, restoring the patient’s ability to chew and smile confidently.







